佝偻病(Rickets):俗称缺钙,在婴儿期较为常见,主要发病原因是体内缺乏维生素D,这是一种骨基质钙化障碍疾?。嵋鹛迥诟啤⒘状晃陕?nbsp;, 而使骨骼钙化不良 。紫外线照射不足、食物中钙磷含量不足或比例不当、生长发育过快维生素D的需要量不足、慢性呼吸道感染、慢性腹泻及肝、肾疾病等慢性疾病影响钙、磷吸收等因素也是婴幼儿发生佝偻病的原因 。
因为佝偻病发病比较缓慢,一般难及时发现,不容易引起重视 。佝偻病主要的特征是生长着的长骨干骺端软骨板和骨组织钙化不全,维生素D不足使成熟骨钙化不全 。佝偻病不具有传染性,但是 , 如果是婴幼儿患有佝偻病,自身免疫力会降低,容易并发肺炎及腹泻等疾?。?影响小儿生长发育 。因此,积极防治佝偻病的重要性尤为突出 。
骨软化症(osteomalacia):成人的佝偻病 。主要表现为骨质软化,骨样组织增生,骨骼变形 。病因多为维生素D和钙、磷缺乏,多见于寒冷贫困地区的经产妇,少数病例是肾小管病变或酶缺乏、肝病、抗惊厥药等所致 。早期表现腰痠腿痛、行动不便、骨骼压痛,偶有抽搐或麻木,骨质疏松、骨骼变形 , 并可出现骨折或假性骨折或成人的青枝骨折、骨盆X射线片常呈三叶形上口 。椎体受压而成楔形骨折或双凹形变形 。营养因素引起者可改善饮食,补充维生素D及钙剂,增加活动 。其他因素引起者治疗各异 。
图1.钙的吸收代谢途径图 。钙离子在胃肠道中摄?。晃谼被吸收在胃肠道中,或通过暴露于紫外线(UVB)从7-脱氢胆固醇产生 。维生素D在肝脏和肾脏中进一步加工,转化为完全活性的形式 , 促进肠内钙的吸收 。甲状旁腺激素作用于骨骼和肾脏以增加血清钙水平,高血清钙水平又抑制甲状旁腺激素分泌 。甲状旁腺激素孩子骨密度低是缺钙吗,钙和磷也可调节肾脏中的维生素D代谢 。25(OH)D = 25-羟基 – 维生素D,1,25-(OH)2D = 1,25-二羟基维生素D.
表1.佝偻病和骨软化症的原因(部分名单)
表2.佝偻病的X线表现
佝偻病在生长旺盛的地方表现比较明显,包括膝盖(股骨远端和胫骨近端),胫骨远端,肱骨近端,远端桡骨和尺骨,和中间肋的前肋端部最为突出 。
图2a 。营养性佝偻病–3岁女孩,因家长疏忽造成股骨骨折 。(a)颅骨正位X射线照片示出了颅骨额缝未闭合(箭头) 。
图2b 。营养性佝偻病–3岁女孩,因家长疏忽造成股骨骨折 。(b)胸部的前后X线照片显示宽而圆的前肋端(圆) 。

文章插图
图2c 。营养性佝偻病–3岁女孩,因家长疏忽造成股骨骨折 。(c)双手正位X线片显示骨密度减低,提示骨量较少 , 部分掌骨(实线箭头)的骨折,时间不能确定;尺骨、桡骨远端的边缘毛糙和杯形凹陷;沿干骺端(虚线箭头)骨的外周缘骨膜的硬化 。
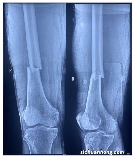
图2d 。营养性佝偻病–3岁女孩,因家长疏忽造成股骨骨折 。(d)膝关节X线片显示患者右侧股骨骨折(黑色箭头)以及右侧胫骨和两侧腓骨(虚线箭头)的骨折 , 时间不能确定 。干骺端是碎片化 , 磨损和裂缝(实心白色箭头) 。
图2e 。营养性佝偻病–3岁女孩,因家长疏忽造成股骨骨折 。(e)两年后随访可以看到 , 两个下肢的弥漫性骨质减少,胫骨和腓骨的弯曲 , 干骺端的扩大 。干骺端可见平行于骨骺生长板的线样骨质密度增高(箭头)影,即生长障碍线,反应了骨化的周期性变化 。(图片由Ok-Hwa Kim , MD,Ajou大学提供 。)
在骨软化症中经常观察到骨密度下降;然而,它不是诊断的基本特征,因为新形成的骨不能钙化并不意味着骨量的减少;有时候观察到的大量的没有钙化的骨质里存在不清楚的不明确的小梁骨,是由于骨小梁间质的密度和骨髓腔的密度接近,造成了在X线片上看起来迷糊的印象 。
松软区是骨软化症的另一特征 。它们发生在整个疾病过程的晚期 。较松散的区域是在压力部位或沿营养血管沉积未矿化的类骨质的结果 。这些区域可以没有或最小的创伤发生,通常是双侧的和对称的 , 并且表现为与仅穿过骨直径的一部分的皮层成直角定向的横向透明带 。虽然称为假骨折,但松散区是一种不全骨折,其位置和外观由异常修复机制修改,松动区通常是疼痛的 。松弛区的一些常见位置与应力性骨折相似 , 如股骨颈或耻骨的内缘 。然而,较松散的区域也发生在非承重骨骼中,这些骨骼是应力性骨折的非典型位置孩子骨密度低是缺钙吗,例如在小转子,坐骨,髂骨翼和外侧肩胛骨水平的股骨轴的外侧 。
图3a 。
图3b 。
图3c 。
骨软化症–41岁男子 , 在下楼梯后出现急性的,在过去10年里有多发骨折病史 。前后位X射线照片胸椎(a)和骨盆(c),和左前臂的侧位平片(b)显示广泛的骨质减少,椎体骨折(在箭头),和多个宽松区域(上箭头B,C) 。患者随后进行了全髋关节置换术 , 并且在切除标本中发现了一种成纤维细胞生长因子23型分泌性间充质肿瘤,这一结果提示了肿瘤诱导的骨软化症的诊断 。
【代谢性骨病的影像学表现:佝偻病和骨软化症Rickets and Osteomal】本文到此结束 , 希望对大家有所帮助!
猜你喜欢
- 放爱一条生路
- ?今年来范围最广最强雨雪来袭 人们出行该注意什么?
- 骨质疏松症是老年人的“专利”吗?补钙能否管用?今天全部告诉你
- 如何腌制大白菜?
- 沙特等多国宣布自愿削减石油产量 这是什么信号?
- 家人身体不好,5种花再喜欢也要搬出去,安全又健康
- 十万块存银行每年能领到多少呢?
- 4种“排毒花”,往客厅摆上1盆,废气排光,当盆栽大气又镇宅
- 存银行定期一年一万块,十年后再去支取,会发生什么?
